10 phút đi tiểu 1 lần, bác sĩ phát hiện bệnh nhân có thêm 1 bàng quang
Đối với những người đang sắp bước vào tuổi trung niên, tình trạng đi tiểu có vấn đề là tín hiệu của nhiều căn bệnh nguy hiểm về đường tiết niệu.

Trưởng khoa Tiết niệu của bệnh viện thành phố Chu Hải, tỉnh Quảng Đông, Trung Quốc, bác sĩ Đới Anh Ba vừa tiếp nhận trường hợp của một nam bệnh nhân 80 tuổi. Theo đó, bệnh nhân đã gặp khó khăn trong việc đi tiểu hơn 1 năm nay. Trong những tháng vừa qua, ông thường có cảm giác muốn đi tiểu mặc dù vừa mới tiểu xong, cứ 10 phút ông lại muốn đi vệ sinh một lần.
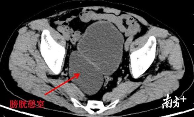
Qua siêu âm Doppler bác sĩ Đới nhận thấy sau khi đi tiểu xong bàng quang bệnh nhân vẫn còn chưa tới 500ml nước tiểu, chẩn đoán ban đầu là bị tăng sản tuyến tiền liệt lành tính. Thế nhưng sau đó, bác sĩ phát hiện bệnh nhân thực sự có thêm một bàng quang khác.
Bác sĩ Đới cho biết bệnh nhân có một phần nhô ra giống như vòng bít có đường kính gần 10 cm sau bàng quang. Nguyên nhân của tình trạng này được cho là do tiểu rắc làm tăng áp lực lên bàng quang. Thêm vào đó, tăng sản tuyến tiền liệt cũng là nguyên nhân chính gây ra tình trạng trên. Nếu không được chẩn đoán và điều trị kịp thời, bàng quang thứ 2 này sẽ gây ra nhiều biến chứng như sỏi, khối u và làm cho chức năng chính của bàng quang bị suy yếu.

Bác sĩ Đới và nhiều y bác sĩ khác đã quyết định sử dụng phương pháp cắt bỏ tuyến tiền liệt và nội soi phẫu thuật để cắt bỏ bàng quang thứ 2. Sau 3 giờ, ca phẫu thuật đã thành công. Một tuần sau đó, bệnh nhân đã có thể đi tiểu lại một cách bình thường.
Bàng quang thứ 2 được xác định là một sự thay đổi bệnh lý của bàng quang. Nó là một túi thừa phình ra khỏi niêm mạc bàng quang, thông qua lớp cơ của thành bàng quang chính. Cái túi thừa này giống như da nhưng không co giãn. Nó không thể co bóp, dẫn tới nước tiểu bên trong không thoát ra được, có khả năng đi kèm với trào ngược bàng quang niệu quản.
Bác sĩ Đới nhắc nhở những người trung niên và cao tuổi trên 50 tuổi, nếu có các triệu chứng như khó tiểu và tắc nghẽn đường tiết niệu thì nên đến bệnh viện kiểm tra, kịp thời phát hiện các bệnh lý về đường tiết niệu như hẹp niệu đạo, tăng sản tuyến tiền liệt lành tính.