Bất cẩn khi dùng máy cắt cỏ, gây tổn thương tim
Khi có vết thương trong quá trình sinh hoạt, lao động, cần đến cơ sở y tế kiểm tra cẩn thận, phát hiện sớm những tổn thương và xử trí kịp thời.
Ngày 4/5, thông tin từ Bệnh viện Đa khoa Trung ương Cần Thơ (BVĐKTƯCT) cho biết các bác sĩ Khoa Ngoại Lồng ngực - Mạch máu vừa phẫu thuật thành công bệnh nhân bị vết thương tim do dị vật xuyên trong quá trình sử dụng máy cắt cỏ.
Bệnh nhân nam H.V.B. (35 tuổi, ngụ tại TP Cần Thơ, đang làm việc ở Phú Quốc, tỉnh Kiên Giang), nhập Khoa Cấp cứu BVĐKTƯCT vào lúc 15h40 ngày 2/5 với vết thương 1/4 trên bụng phải kích thước khoảng 0,2 x 0,5cm.

Bệnh nhân ổn định sau phẫu thuật.
Trước đó 1 ngày, bệnh nhân dùng máy cắt cỏ ở hàng rào, cắt phải dây kẽm gai bị đứt xuyên vào bụng, sau đó thấy có vết thương và đau nhẹ, không nghiêm trọng, ít chảy máu nên không đi khám.
Khoảng 12h sau, bệnh nhân thấy mệt, khó thở, đau lói ngực ngày càng nhiều nên đến bệnh viện địa phương khám và nhanh chóng chuyển viện đến BVĐKTƯCT.
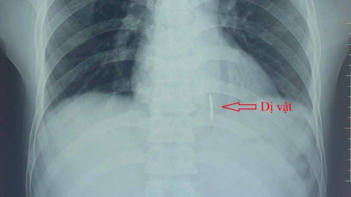
Kết quả chụp Xquang ngực tim phổi thẳng, siêu âm tim màu, chụp cắt lớp vi tính lồng ngực có cản quang ghi nhận có 1 dị vật cản quang dài 4 x 0,4cm nằm dọc thành sau thất trái và có thông vào buồng tim.
Bệnh nhân có chỉ định phẫu thuật cấp cứu. Ê-kíp phẫu thuật do BS.CK2 Trầm Công Chất, Trưởng Khoa, Ths.BS Liêu Vĩnh Đạt, Phó trưởng Khoa Ngoại Lồng ngực - Mạch máu, BS.CK2 Nguyễn Thanh Liêm, Khoa Gây mê hồi sức đã tiến hành mở màng ngoài tim, thấy có ít máu loãng và máu cục, có nhiều giả mạc dọc bờ tim phải và mặt sau tim.
Thám sát thấy cơ hoành có một vết thương nhỏ đã bít lại, thành sau thất trái bầm giập khoảng 3x3cm có giả mạc, trên thành cơ tim có vết thương nhỏ.
Sờ trên bề mặt thành sau thất trái thấy dị vật, tiến hành gắp dị vật là một đoạn kim loại dài 4 x 0,4cm, máu phun ra thành tia.

Hình ảnh dị vật trên phim Xquang tim phổi.

Dị vật được lấy ra sau phẫu thuật.
Các bác sĩ đã khâu vết thương thành sau thất trái, kiểm tra cầm máu kỹ, bơm rửa khoang màng ngoài tim, đóng màng ngoài tim… Phẫu thuật diễn ra thành công sau 120 phút.
Chiều 4/5/2022, bệnh nhân tỉnh, tự thở, dấu hiệu sinh tồn ổn định, vết mổ khô, được theo dõi và điều trị tại Khoa Ngoại Lồng ngực - Mạch máu.
Theo BS.CKII Trầm Công Chất: “Trường hợp bệnh nhân này khá hy hữu vì với vị trí tổn thương như trên. Tổn thương trực tiếp thường gặp là gan, ruột, tuy nhiên bệnh nhân này chỉ có vết thương tim ở vị trí phức tạp.
Vết thương tim là một tổn thương rất nặng, được xem là một cấp cứu khẩn cấp trong ngoại khoa về phẫu thuật lồng ngực tim mạch. Đây là những tổn thương có tỷ lệ tử vong cao nếu không được chẩn đoán và xử trí kịp thời.
Phẫu thuật vết thương tim rất phức tạp, độ khó cao, đòi hỏi phẫu thuật viên chuyên khoa giàu kinh nghiệm, có khả năng khâu vết thương một cách khẩn trương, đúng kỹ thuật trên quả tim đang đập.
Các trung tâm lớn có đủ trang thiết bị y tế hiện đại và đội ngũ cấp cứu, phẫu thuật viên, gây mê hồi sức nhiều kinh nghiệm là yếu tố quan trọng góp phần thành công cao trong điều trị”.
BVĐKTƯCT đã tiếp nhận các trường hợp bệnh nhân bị lưỡi máy cắt cỏ gây thương tích như là đứt cẳng chân, vết thương tay, ngực, bụng.
Nguyên nhân của các vụ tai nạn do máy cắt cỏ gây ra phần lớn là do sự chủ quan của người sử dụng.
Trong quá trình vận hành, chỉ cần mất tập trung là có thể bị lưỡi máy cắt cỏ văng vào chân hoặc lưỡi máy chạm vào viên đá…
Khi sử dụng máy cắt cỏ phải luôn đi giày kín mũi, mặc quần áo bảo hộ lao động, đeo găng tay và mắt kính an toàn.
Bên cạnh đó, người sử dụng cũng cần phải chú ý đến địa hình, tránh những nơi có đá, kim loại và các vật sắc nhọn khác...