Hình ảnh phổi bệnh nhân nhiễm Covid-19 bị virus Corona tàn phá
Kết quả chụp CT phổi của những bệnh nhân nhiễm Covid-19 khiến ai cũng sợ hãi trước sự tàn phá phổi của chủng virus Corona mới này.

Đây là hình ảnh chụp CT phổi của một phụ nữ 33 tuổi ở bệnh viện Lan Châu, Trung Quốc. Cô nhập viện trong tình trạng sốt và ho trong 5 ngày, bác sĩ phát hiện số lượng bạch cầu của cô thấp và có dấu hiệu nhiễm trùng phổi. Bản quét CT cho thấy có các mảng trắng giống như thủy tinh bị mờ nằm ở thùy phải, sau đỉnh thùy trái.
Paras Lakhani, một bác sĩ X-quang tại Đại học Thomas Jefferson, người không tham gia vào nghiên cứu nhưng kiểm tra các hình ảnh, nói với trang Business Insider. "Đây là chất lỏng trong không gian phổi". Các nhà nghiên cứu cũng thấy rằng các mảng trắng trên phổi của người phụ nữ rõ rệt hơn trong hình ảnh thứ 2, được chụp lại sau 3 ngày sau lần đầu tiên. (Ảnh: Business insider)

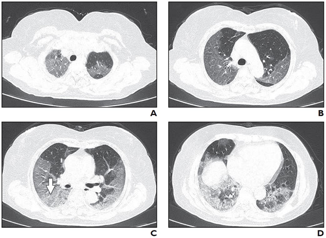
Bệnh nhân có tiền sử phơi nhiễm ngắn hạn với cúm Vũ Hán và các triệu chứng khởi phát sốt 38 độ C và ho. Chụp CT được thực hiện vào ngày nhập viện. Hình ảnh A và D cho thấy các mảng trắng như thủy tinh mờ đa mặt song phương (GGO) và các tổn thương khác. Giãn phế quản ở hình C và mở rộng mạch máu ở hình B và D. (Ảnh: Thailanmedical)

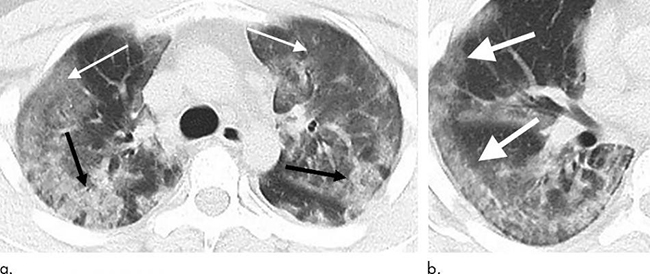
Bệnh nhân nam 29 tuổi không có tiền sử phơi nhiễm, xuất hiện sốt và ho, phải nhập viện điều trị tích cực. Hình A: Chụp CT không tương phản cắt dọc trục cho thấy có rất nhiều đốm trắng trong phổi và bề mặt phổi loang lỗ. Hình B: Ở thùy giữa và thùy phải cùng vùng ngoại vi xuất hiện rất nhiều mảng trắng, điều này chứng tỏ virus Corona đang xâm chiếm và phá hủy phổi. (Ảnh: Itnonline)

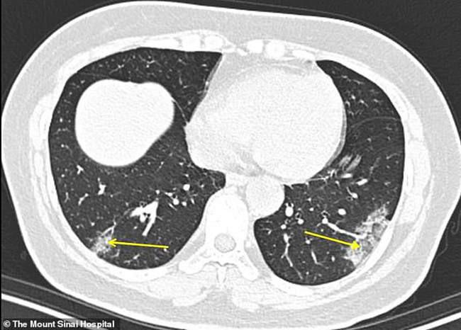
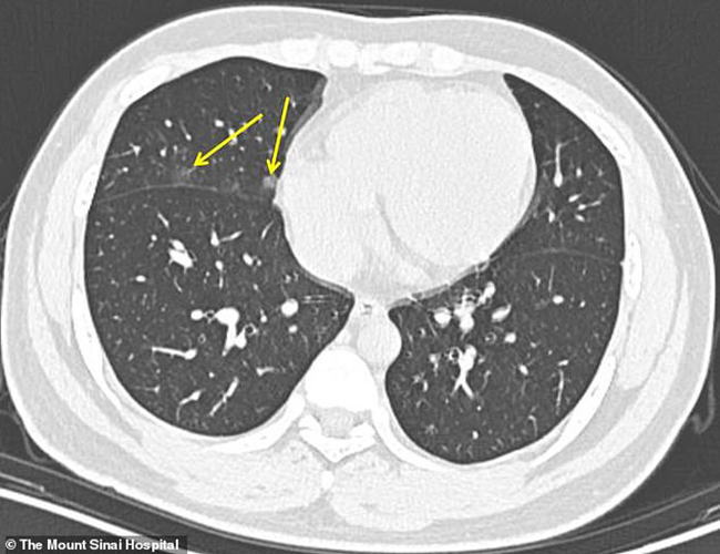
Ảnh chụp CT của bệnh nhân 15 tuổi, người từng đến Vũ Hán du lịch. Hình ảnh chụp CT được thực hiện sau 3 ngày kể từ khi có các triệu chứng nhiễm virus. Các nhà nghiên cứu đã tìm thấy những phát hiện mơ hồ trong phổi là dấu hiệu của coronavirus, không phải là dấu hiệu điển hình của các bệnh phổi khác. Mũi tên chỉ vào dấu hiệu của virus. (Ảnh: Dailymail)

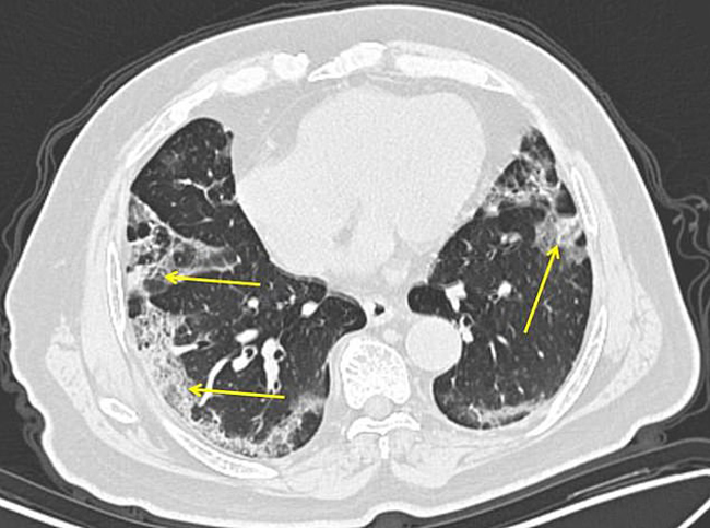
Ảnh chụp bệnh nhân 65 tuổi, người từng đến Vũ Hán. Quét CT được thực hiện 11 ngày sau các triệu chứng xuất nhiễm Covid-19 xuất hiện. Các tổn thương mờ có hình dạng tròn xuất hiện nhiều trên phổi. (Ảnh: Dailymail)

Những bệnh nhân được quét từ 0 đến 2 ngày sau khi các triệu chứng xuất hiện lần đầu tiên có rất ít hoặc không có triệu chứng về bệnh phổi. Ảnh chụp CT của bệnh nhân 19 tuổi, 1 ngày sau khi các triệu chứng xuất hiện. (Ảnh: Dailymail)

Chụp CT ngực của một người đàn ông 34 tuổi bị coronavirus ở Trung Quốc. Một nửa trong số những bệnh nhân nhiễm Covid-19 trong 2 ngày đầu tiên không có những triệu chứng rõ rệt ở phổi. (Ảnh: Internewscast)

Ảnh chụp CT phổi của Tiger Ye, một sinh viên 21 tuổi ở Vũ Hán. Ngày 21/1 sau khi dùng xong bữa tối anh cảm thấy quá mệt, khi kiểm tra thân nhiệt thì anh thấy nhiệt độ không ngừng tăng cao. Anh đã tự mua thuốc hạ sốt trong những ngày đầu tiên trong khi chờ lịch hẹn tái khám ở bệnh viện. Tình trạng của anh ngày càng xấu đi, cơn ho kéo dài dai dẳng như muốn "nổ tung phổi". (Ảnh: Japantimes)