Thời sự Quốc tế

Virus Corona có thể tạo ra hàng ngàn hạt mang virus mới

01/02/2020, 18:03

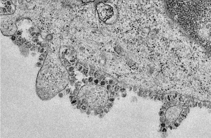
Tế bào virus Corona 2019-nCoV có khả năng tạo ra hàng ngàn hạt mang virus mới.

img
Hình ảnh cho thấy tế bào virus Corona 2019-nCoV phân tách.

Báo Bloomberg đưa tin, các nhà khoa học từ Đại học Hồng Kông đã công bố những bức ảnh đầu tiên chụp lại sự sinh sản của chủng virus Corona mới (2019-nCoV).

Các hình ảnh cho thấy tế bào virus Corona 2019-nCoV. Theo các nhà khoa học, tế bào virus Corona 2019-nCoV có khả năng tạo ra hàng ngàn hạt mang virus mới.

John Nichols, một trong những nhà khoa học tham gia nghiên cứu về virus, cho biết trường đại học đã có thể sẵn sàng cung cấp kết quả công việc cho các nhà khoa học khác không có quyền truy cập các chủng virus.

Theo báo Sputnik, tại Nga, hai trường hợp nhiễm virus Corona đã được ghi nhận vào ngày 31/1.

Nhà chức trách Nga đã có biện pháp ngăn chặn sự lây lan bệnh dịch. Cụ thể, chính phủ quyết định sơ tán các công dân Nga ra khỏi Vũ Hán và Hồ Bắc, nơi mà số lượng họ có khoảng 650 người.

Thủ tướng Mikhail Mishustin đã ra lệnh đóng cửa biên giới ở Viễn Đông. Ngoài ra, ngày 1 tháng 2, Nga đã ngừng liên lạc trên không với Trung Quốc.

Các công ty sẽ chỉ có thể bay trong chế độ bay thuê. Việc đi qua biên giới với Mông Cổ bị hạn chế, thị thực làm việc cho công dân Trung Quốc sẽ không được cấp.

Chính quyền Nga cũng yêu cầu các hiệu thuốc và nhà sản xuất không được nâng giá các sản phẩm quá mức do virus Corona.

Ngoài ra, Phó Thủ tướng Tatyana Golikova cho biết đã lập kế hoạch ngăn chặn sự lây lan của virus ở Nga. Tài liệu sẽ sớm được đệ trình Thủ tướng Mishustin.