Vụ gãy 2 xương sườn: Bệnh viện quốc tế Vinh nói gì?
Mặc dù nạn nhân TNGT bị gãy 2 xương sườn, nhưng BV quốc tế Vinh (Nghệ An) chụp Xquang đã không phát hiện.
![]() |
Hai kết quả khác nhau của Bệnh viện quốc tế Vinh và Phòng khám đa khoa ĐH Y khoa Vinh |
Trước thông tin ông Nguyễn Trọng Hoàng (SN 1963, trú tại phường Lê Mao, TP Vinh, Nghệ An) bị ngã do va chạm giao thông, sau đó vào chụp Xquang tại Bệnh viện quốc tế Vinh thì kết luận: “Xương và mô mềm thành ngực bình thường. Hiện tại không thấy bất thường trên phim chụp X quang phổi”. Sau vài ngày do đau quá, ông Hoàng đến Phòng khám đa khoa của Đại học Y khoa Vinh chụp lại phát hiện bị “Gãy cung sau xương sườn 5, 6”.
Sau khi phát hiện bị gãy 2 xương sườn, ông Hoàng cho rằng “Tôi nghi ngờ đến 95% ông Nam (người lái ô tô va quệt với ông Hoàng) có nhờ người can thiệp vào Bệnh viện quốc tế, do đó dẫn đến BV quốc tế làm sai”.
Trao đổi với PV Báo Giao thông, ông Từ Thanh Chương, Giám đốc Bệnh viện quốc tế Vinh cho biết: “Hiện tôi chưa nắm rõ được trường hợp này nên tôi chưa trả lời được. Bệnh viện quốc tế Vinh đi vào hoạt động từ năm 2015, thuộc Tập đoàn Y khoa Hoàn Mỹ. Riêng nói về máy chụp X quang thì máy này là hiện đại nhất khu vực Bắc miền Trung, là máy X quang số hóa chứ không phải máy X quang thông thường, chúng tôi mới nhập của hãng Siemens mới 100%. Còn người đọc X quang trường hợp ông Hoàng là Thạc sỹ Hường, chuyên về chẩn đoán hình ảnh".
Tuy nhiên, khi PV đưa ra câu hỏi liệu tất cả các kết quả mà Thạc sỹ Hường đọc (chẩn đoán hình ảnh) chính xác tuyệt đối 100% không? Thì ông Chương cho biết: "Tất nhiên là không có cái gì có thể 100%, trường hợp ông Hoàng thì cần phải có phim đã chụp mới khẳng định được".
Trong khi đó, ông Trần Thanh Bình, Trưởng khoa chẩn đoán hình ảnh Bệnh viện quốc tế Vinh khẳng định, tại thời điểm đọc không có tổn thương trên phim X quang, kết quả đúng như kết luận của thạc sỹ Hường.
"Lúc đầu tôi sợ bác sỹ của tôi bất cẩn thôi, nhưng trường hợp của ông Hoàng tôi đã kiểm tra lại thì không có bất cẩn đâu. Bởi vì trong nhiều trường hợp gãy xương, đường gãy mờ mờ không thấy, có khi bác sỹ đọc nhiều nên bất cẩn, nhưng trường hợp ông Hoàng thì không", ông Bình cho biết.
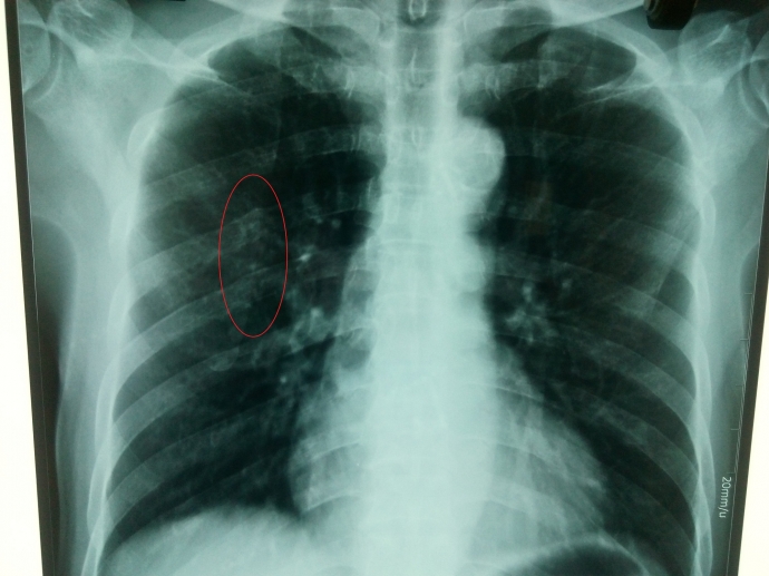
![]() |
Phim X quang do BV quốc tế Vinh chụp ngày 24/3 và Bác sỹ Hường (BV quốc tế Vinh) chẩn đoán xương sườn bình thường (!?) |
PV đã liên hệ với Thạc sỹ Phan Thị Thu Hường, người được Trưởng khoa giới thiệu là “bác sỹ chẩn đoán hình ảnh giỏi nhất tỉnh Nghệ An”. Bác sỹ Hường khẳng định, “thực sự phim chụp X quang ngày 24/3 không có thấy rạn gãy xương”.
Tuy nhiên, trong vai người nhà bệnh nhân, PV đưa phim X quang của ông Hoàng do Bệnh viện quốc tế Vinh chụp sang bệnh viện khác nhờ đọc thì kết quả lại bất ngờ. Một vị bác sỹ cho biết, “với phim X quang này nếu để xem tim phổi thì tạm được, nhưng để xem xương thì kém. Chụp xem tim phổi khác, chụp xem xương phải khác. Do đó, trên phim này cũng khó xem xương, nhưng có điểm lưu ý ví dụ như cung sau xương sườn số 5”.
Dư luận đang đặt câu hỏi, liệu bác sỹ Hường do trình độ kém nên không nhìn thấy dấu vết nghi vấn trên cung sau xương sườn số 5, hay là bác sỹ Hường biết nhưng đã làm ngơ, không thông báo cho ông Hoàng biết (!?).
Về phần mình, ông Hoàng (người bị gãy 2 xương sườn) rất bức xúc do nghi vấn có sự can thiệp từ bên ngoài làm thay đổi kết quả chụp Xquang.
“Họ làm như vậy là rất nghiêm trọng. Họ làm như vậy không những một mình tôi, mà sau này sẽ còn bao nhiêu người nữa như thế này thì hậu quả sẽ như thế nào. Chẳng thà họ cứ nói là tôi bị gãy xương, nhưng hai gia đình sẽ tự giải quyết với nhau sao cho ổn thỏa. Đằng này họ bảo không sao, thì đây là vấn đề rất trầm trọng về đạo đức, lương y”, ông Hoàng bức xúc nói.

