Bệnh nấm đen nguy hiểm tấn công nhiều bệnh nhân Covid-19 Ấn Độ
Ấn Độ ra khuyến cáo về căn bệnh nhiễm trùng nấm hiếm gặp vừa xuất hiện trên hàng chục bệnh nhân Covid-19.

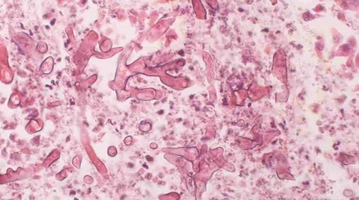
Bệnh nhân Covid-19 có thể dễ bị nhiễm nấm Mucormycosis
40 trường hợp bệnh nhân Covid-19 nhiễm thêm nấm đen
Khi tình hình dịch bệnh Covid-19 diễn biến nghiêm trọng, Ấn Độ lại ghi nhận thêm một số ca nhiễm trùng nấm được gọi là Mucormycosis hay còn gọi là "nấm đen", hãng Indian Today dẫn nguồn từ Cơ quan Nghiên cứu và Giáo dục Y tế cho biết.
Đây là căn bệnh nhiễm trùng nấm hiếm gặp ảnh hưởng đến xoang, phổi nếu người hít phải bào tử của nấm. Các bào tử này thường xuất hiện ở khu vực sình lầy, mặt đất ẩm ướt, cây cỏ, rau củ thối rữa.
Đặc biệt, Cơ quan Nghiên cứu và Giáo dục Y tế Ấn Độ, triệu chứng nấm Mucormycosis bắt đầu xuất hiện nhiều trên những bệnh nhân Covid-19 và cả những người mới khỏi bệnh.
Hội đồng Nghiên cứu Y khoa Ấn Độ (ICMR) khuyến cáo, việc lây nhiễm nấm chủ yếu ảnh hưởng tới những người bị suy giảm khả năng chống chọi những mầm bệnh từ môi trường.
Đặc biệt, hãng tin Sputnik dẫn lời một thành viên tổ chức Chính phủ NITI Aayog cho biết, một khi bệnh nhân bị viêm đường hô hấp cấp do virus Covid-19 phải sử dụng máy thở thì khả năng bị nhiễm nấm sẽ tăng lên.
Thực tế, tại bang Gujarat của Ấn Độ, trong vòng hai tuần qua phát hiện 40 trường hợp bị nhiễm nấm đen. Trong đó có một số bệnh nhân đã bị mất thị lực.
Hơn nữa, theo hãng tin PTI dẫn lời một số quan chức cấp cao Ấn Độ, đã có ít nhất 8 người tại bang Maharashtra dù đã hồi phục sau khi nhiễm virus Covid-19 nhưng lại tử vong vì mắc nấm Mucormycosis.
Nguy cơ cao với người béo phì, suy giảm miễn dịch

Nấm đen là bệnh lây nhiễm nghiêm trọng nhưng hiếm gặp
Hãng tin India Today dẫn khuyến cáo từ Hội đồng Nghiên cứu Y tế Ấn Độ (ICMR) và Bộ Y tế Ấn Độ cho biết, cần phải cẩn trọng với nguy cơ lây nhiễm bệnh nấm đen này vì nếu chủ quan sẽ dẫn đến tử vong.
Khuyến cáo trên đưa ra một số triệu chứng nhiễm nấm đen bao gồm: đau và đỏ xung quanh mắt và mũi, sốt, đau đầu, ho, thở ngắn, nôn ra máu, xảy ra tình trạng thay đổi ý thức.
Đối với các bệnh nhân Covid-19 bị béo phì và những người có khả năng đề kháng kém, nếu một người xuất hiện viêm xoang, đau nửa bên mặt, da đổi màu đen ở khu vực sống mũi, hoặc vòm miệng, đau răng, tầm nhìn bị mờ ảo, tổn thương trên da, đau ngực và tình trạng hô hấp khó khăn hơn thì có thể nghi nhiễm nấm Maharashtra.
Để ngăn chặn căn bệnh, cần phải kiểm soát mức độ glucose trong máu đối với các bệnh nhân đã được ra viện sau khi điều trị Covid-19 và với các bệnh nhân béo phì...
Khuyến cáo của Ấn Độ cũng cho biết, căn bệnh lạ có thể được xử lý nếu kiểm soát béo phì, tạm ngưng sử dụng thuốc điều biến miễn dịch, giảm steroid (những loại hormone tổng hợp được dùng trong ngành y khoa), phẫu thuật mở rộng để loại tất cả các phần da thịt bị hoại tử.
Ấn Độ hiện là nước ghi nhận số ca nhiễm Covid-19 nhiều thứ hai trên thế giới. Tổng số trường hợp mắc COVID-19 trong cả nước đã vượt quá 22,2 triệu ca.