Lộ diện xe dù tuyến Mỹ Đình - Quảng Ninh sau vụ khách bị đánh gãy tay
Lên chiếc xe ở khu vực gần cổng Bến xe Mỹ Đình để về Quảng Ninh, anh Sáng nghi đây là xe dù nên đòi xuống liền bị tài xế, phụ xe lao vào đánh...
Đánh khách, giữ điện thoại từ Hà Nội về Bắc Ninh

Anh Sáng được một người dân hỗ trợ băng bó vết thương và giúp đỡ để đón được chiếc xe khác từ Bắc Ninh về Quảng Ninh
Trao đổi với PV, anh Hồ Mùn Sáng (SN 1995, trú tại tổ 1, khu 5, phường Hải Yên, TP Móng Cái, Quảng Ninh) kể, khoảng 17h ngày 30/10, khi anh đến Bến xe Mỹ Đình tìm xe về Quảng Ninh thì có một người mặc quần áo bảo vệ vẫy gọi sang cổng đối diện rồi đưa lên một chiếc xe Ford Transit màu bạc, BKS 14B-042.93 có biển ghi là Hà Nội - Móng Cái. Lúc này trên xe có khoảng 5 - 6 hành khách. Khi xe di chuyển đến đường Phạm Hùng thì phụ xe yêu cầu thu tiền vé.
Anh Sáng hỏi là đi đến Móng Cái hết bao nhiêu tiền, phụ xe trả lời “đưa bao nhiêu thì đưa”. Anh Sáng hỏi lại lần nữa và được cho biết giá đi Hà Nội - Móng Cái trên cao tốc là 500 nghìn đồng, yêu cầu trả tiền vé luôn.
Nghi ngờ đây là xe dù, dễ bị đổi sang xe khác ngang đường, anh Sáng đã đề nghị là về đến Móng Cái thì thanh toán. Tuy nhiên, phụ xe này không đồng ý mà yêu cầu phải trả ngay.
Lúc này, anh Sáng liền lấy điện thoại ra gọi cho xe khác và yêu cầu tài xế cho xuống. Đúng lúc ấy, anh Sáng bị phụ xe ngồi phía sau đấm vào sau gáy làm rớt chiếc điện thoại và cầm lấy luôn.
“Phụ xe bóp cổ, ghì tôi xuống ghế, đấm liên tục vào đầu, vào mặt. Tài xế cũng dừng xe lại rồi trườn sang dùng dép đập vào mặt, vào đầu tôi. Cả hai luôn miệng chửi bới, đe dọa, phụ xe còn liên tục bảo tài xế “lấy con dao ra đây”. Rồi tài xế dùng một vật cứng đập thẳng vào đầu tôi. Thấy choáng váng nên tôi đã khua tay lên đỡ thì nghe tiếng xương gãy và bàn tay trái đau điếng”, anh Sáng thất thần kể lại.

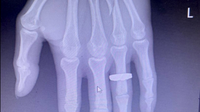
Y, bác sĩ Bệnh viện Đa khoa Bãi Cháy bó bột cho ngón áp út tay trái bị gãy của anh Sáng
Thấy mình bị đánh máu me be bét, buồn nôn và khát nước, anh Sáng liên tục van xin cho xuống xe để băng bó, nhưng phụ xe không cho mà còn tiếp tục đe dọa, đánh đập, quá trình này kéo dài tới tận TP Bắc Ninh, thì xe rẽ vào con đường vắng và anh Sáng bị bỏ xuống xe.
Sau đó, anh Sáng được người dân giúp đỡ sơ cứu, gọi xe ôm ra khu vực bắt xe về Quảng Ninh. Khoảng 22h ngày 30/10, về đến Quảng Ninh, anh Sáng vào Bệnh viện Đa khoa Bãi Cháy điều trị trong tình trạng bị gãy xương áp út bên tay trái, đa chấn thương đầu, mặt…
Anh H.V.Q. - 1 trong 2 người dân ở khu Tiên Xá, phường Hạp Lĩnh, TP Bắc Ninh đã hỗ trợ giúp anh Sáng ra điểm đón xe khách về Quảng Ninh kể, tối 30/10, anh thấy chiếc xe khách dừng lại, đẩy một người bị máu me khắp mặt, mũi, quần áo xuống, nên tiến lại gần hỏi han, giúp đỡ. Do tối, nên anh Q. không nhìn rõ biển số xe, nhưng thấy đó là xe màu bạc dạng 16 chỗ. “Tôi sẵn sàng phối hợp với cơ quan chức năng để làm chứng vụ, việc này”, anh H.V.Q. khẳng định.
Anh L.T.S. (nhà ở huyện Hải Hà, Quảng Ninh) là hành khách trên chuyến xe BKS 14B-042.93 xác nhận sự việc như lời anh Sáng kể. Anh L.T.S. cũng xác nhận khi thấy tài xế, phụ xe đánh anh Sáng dã man, anh S. đã can ngăn, nhưng phụ xe vừa hô lái xe lấy dao ra, vừa dọa: “Mày ngồi im, không tao đánh cả mày đấy”. Vì vậy, anh S. đã quay lại đoạn clip anh Sáng bị đánh rồi tung lên mạng xã hội.
Lộ diện xe dù

Hình ảnh xương ngón tay áp út bàn tay trái của anh Sáng bị đánh gãy
Trao đổi với Báo Giao thông, ông Mạc Đức Sơn, Trưởng phòng Vận tải và phương tiện, Sở GTVT Quảng Ninh cho biết: Qua kiểm tra phương tiện đăng ký kinh doanh vận tải trên địa bàn tỉnh thì xe BKS 14B-042.93 không đăng ký tại sở.
Ông Nguyễn Tuyển, Trưởng phòng Quản lý vận tải, Sở GTVT Hà Nội cũng cho biết, sở không cấp kinh doanh vận tải cho xe có biển số này. Như vậy, bước đầu khẳng định, xe BKS 14B-042.93 chạy dù.
Theo trích xuất từ hệ thống đăng kiểm, BKS 14B-042.93 cấp cho xe Ford Transit màu bạc, đăng ký ngày 24/06/2022, chủ xe là Nguyễn Văn Hải có địa chỉ ở tổ 6, Cao Sơn 2, Cẩm Phả, Quảng Ninh.
Anh Hồ Mủn Sáng cho biết, sau khi vợ anh đưa sự việc lên mạng xã hội, có số điện thoại 0867190387 nhắn tin cho vợ anh với nội dung: “Chào chị, em là chủ xe 14B-042.93, em muốn vào viện thăm anh và nói chuyện với anh chị”. Tuy nhiên, do muốn sự việc được xử lý nghiêm minh, nên vợ anh Sáng không trả lời.
Ngày 7/11, PV cũng đã liên hệ với phía Công an TP Móng Cái, nơi anh Sáng cho biết đã gửi đơn tố cáo nhà xe hành hung, nhưng đơn vị cho biết chưa nhận được đơn. Tuy nhiên, quan điểm của đơn vị sẽ xử lý nghiêm các hành vi vi phạm an ninh trật tự, ATGT.
Trao đổi với PV, cán bộ đơn vị phụ trách tuyến QL18A qua địa bàn tỉnh Quảng Ninh cũng cho biết, từ thông tin biển số xe do PV cung cấp, đơn vị đã bố trí lực lượng để xử lý. Tuy nhiên, đến thời điểm hiện tại, đơn vị chưa phát hiện được xe này lưu thông trên tuyến nào trên địa bàn Quảng Ninh.
Có thể bị truy cứu trách nhiệm hình sự
Nhìn nhận vụ việc dưới góc độ pháp lý, luật sư Lê Trung Kiên, Giám đốc Công ty Luật Duy cho biết: Nếu cơ quan chức năng xác định sự việc đúng như lời anh Sáng và các nhân chứng kể, việc hành hung đánh đập người khác là vi phạm pháp luật, có thể bị truy cứu trách nhiệm hình sự về tội danh “Cố ý gây thương tích” theo Điều 134 Bộ luật Hình sự.
Căn cứ vào hậu quả của hành vi phạm tội thông qua giám định pháp y của Cơ quan giám định về thương tích từ 11% trở lên hoặc dưới 11% nhưng thuộc các trường hợp theo luật định vẫn bị truy cứu trách nhiệm hình sự về tội này.
Theo Điều 134, Bộ luật Hình sự, người nào cố ý gây thương tích hoặc gây tổn hại cho sức khỏe của người khác mà tỷ lệ tổn thương cơ thể từ 11% - 30% hoặc dưới 11% nhưng thuộc một trong các trường hợp sau đây, thì bị phạt cải tạo không giam giữ đến 3 năm hoặc phạt tù từ 6 tháng - 3 năm: Dùng vũ khí, vật liệu nổ, hung khí nguy hiểm hoặc thủ đoạn có khả năng; có tính chất côn đồ.
“Qua phân tích clip và lời kể của nhân chứng cũng như nạn nhân thì việc dùng vật cứng đánh vào đầu anh Sáng gây thương tích như trong clip như vậy có thể coi là dùng hung khí nguy hiểm gây thương tích. Cùng với đó, việc phụ xe đánh anh Sáng hoàn toàn có cơ sở để xác định hành vi có tính chất côn đồ, đối với hành vi này dù giám định thương tích dưới 11% vẫn chịu trách nhiệm hình sự”, luật sư phân tích và cho biết thêm, người phạm tội ngoài phải chịu trách nhiệm hình sự còn phải chịu trách nhiệm bồi thường dân sự cho người bị hại theo quy định.
Chủ xe nói gì?
Chiều tối 7/11, PV Báo Giao thông cũng đã liên lạc điện thoại được với chị Hương, xưng là vợ của chủ xe BKS 14B-042.93.
Chị Hương cho biết, ban đầu, hai vợ chồng chị không biết sự việc này, khi thông tin đăng tải trên mạng xã hội thì mới biết.
Ngay sau đó, chị Hương đã nhắn tin với vợ anh Sáng để đề nghị được gặp gỡ. Chiều ngày thứ 6 tuần trước (4/11), chị Hương đã cùng tài xế tìm đến Bệnh viện Đa khoa Bãi Cháy để gặp anh Sáng, nhưng không được…
Cũng theo chị Hương, phụ xe tên là Nam, nhà ở thị xã Đông Triều và không có họ hàng thân thích gì với gia đình chị, qua người quen giới thiệu.
Tuy nhiên, do thương hoàn cảnh của Nam, nên vợ chồng chị mới nhận làm phụ xe. Sau khi sự việc xảy ra thì phụ xe đã không đi làm nữa và hiện gia đình chị cũng không liên lạc được.
“Xe của gia đình là chạy hợp đồng không phải kinh doanh vận tải. Sự việc do nhân viên gây ra, nhưng là chủ xe, vợ chồng tôi mong muốn được gặp anh Sáng để giải quyết sự việc cho phù hợp. Tuy nhiên, gia đình anh Sáng chưa nhận lời”, chị Hương nói.