Bị đánh gãy tay vì đòi xuống xe
Báo Giao thông Điện tử ngày 5/11 đã đăng tải bài viết "Hành khách sợ hãi kể bị tài xế, phụ xe đánh gãy xương vì đòi xuống".
Nội dung bài báo phản ánh việc ngày 30/10, anh Hồ Mủn Sáng (SN 1985, trú tại tổ 1, khu 5, phường Hải Yên, TP Móng Cái, Quảng Ninh) đã bị phụ xe, tài xế trên chiếc xe khách tuyến Hà Nội – Quảng Ninh mang BKS 14B-042xx hành hung dã man làm gãy ngón tay, chấn thương nhiều vị trí trên vùng mặt, đầu...
Nguyên nhân vụ việc là sau khi lên xe tại khu vực bến xe Mỹ Đình, anh Sáng đã đề nghị nhà xe cho xuống khi thấy xe không chạy đúng tuyến và giá vé quá cao.
>>> Clip anh Hồ Mủn Sáng bị tài xế, phụ xe hành hung dã man do hành khách cùng chuyến xe quay lại:
Không những bị đánh đập, thu điện thoại, mà anh Sáng còn bị nhà xe "giam lỏng" và đưa đến một đoạn đường vắng tại TP Bắc Ninh, tỉnh Bắc Ninh thì bất ngờ đẩy anh Sáng xuống xe và trả hành lý, điện thoại.
May mắn, anh Sáng đã được hai người dân tại đây hỗ trợ sơ cứu, bắt xe ôm để ra khu vực bắt xe về Quảng Ninh rồi sau đó vào Bệnh viện Đa khoa Bãi Cháy khám, điều trị.

Anh Sáng được hành khách hỗ trợ băng bó vết thương và giúp đỡ để đón được chiếc xe khác từ Bắc Ninh về Quảng Ninh
Theo lời anh Sáng, bản thân anh là lao động chính trong nhà phải nuôi bố, mẹ già, 2 con nhỏ và một đứa em bị tàn tật, trong khi vợ anh lại sắp sinh con thứ 3. Nay vô cớ bị tài xế, lái xe hành hung đến gãy tay, phải điều trị tốn kém và phải nghỉ việc, nên gây khó khăn cho gia đình.
"Tôi mong muốn cơ quan chức năng vào cuộc điều tra, xử lý các đối tượng hành hung mình theo quy định của pháp luật", anh Sáng nói và cho biết, đã làm đơn tố cáo gửi Công an TP Móng Cái, Công an TP Hà Nội.
PV Báo Giao thông đã liên hệ cơ quan chức năng để xác nhận lá đơn tố cáo anh Sáng gửi, tuy nhiên vào những ngày cuối tuần nên các đơn vị cho biết, chưa kiểm tra được đơn này.
Người quay clip cũng bị đe doạ
Ngay sau khi bài báo đăng tải, đã nhận được nhiều chia sẻ, bình luận bày tỏ sự bất bình trước hành vi côn đồ của lái, phụ xe khách nêu trên.
Cùng với đó, PV Báo Giao thông đã nhận được cuộc gọi của một người tự nhận là đã chứng kiến và quay lại toàn bộ sự việc tài xế, phụ xe khách đánh anh Hồ Mủn Sáng chiều tối 30/10 trên tuyến từ Hà Nội về Quảng Ninh.

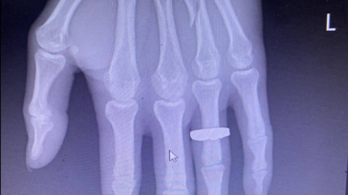
Anh Sáng được các y, bác sĩ Bệnh viện Đa khoa Bãi Cháy bó bột do gãy ngón tay áp út của tay trái
Đó là anh L.T.S nhà ở huyện Hải Hà, tỉnh Quảng Ninh. Anh S. kể, chiều tối ngày 30/10, anh lên xe ở đối diện cổng bến xe Mỹ Đình. Được một lúc thì anh Sáng cũng lên.
Khi xe chạy được đoạn thì phụ xe thu vé của mọi người. Lúc này, anh Sáng có trao đổi về giá vé và đề nghị đến TP Móng Cái sẽ thanh toán do lo ngại bị chuyển xe khác dọc đường.
Theo anh S., anh Sáng chỉ trao đổi có vậy, không hề có đôi co hay cãi vã gì với phụ xe, tài xế cả. Thế nhưng, khi nghe anh Sáng gọi điện cho một xe khác để đón thì bất ngờ phụ xe tiến đến, đánh anh Sáng từ phía sau và thu luôn chiếc điện thoại. Cùng lúc đó, tài xế cũng dừng xe lại rồi cùng phụ xe đè anh Sáng xuống ghế đánh, đập túi bụi.
"Thấy thế, tôi can ngăn không được liền lấy điện thoại quay lại. Tuy nhiên, phụ xe vừa hô hào lái xe lấy dao ra, vừa doạ tôi là: "Mày ngồi im, không tao đánh cả mày đấy", anh S. kể.
Hình ảnh xương ngón tay áp út bàn tay trái của anh Sáng bị đánh gãy
Thấy lái, phụ xe côn đồ, hung hãn, anh S. cũng sợ, không dám can nữa. Ngay sau khi về đến nhà, anh S. đã đăng tải clip lên mạng xã hội một lúc rồi xóa đi do sợ phiền luỵ. Nhưng anh Sáng đã chuyển clip cho một người bạn ở TP Móng Cái đăng tiếp. Sau đó thì người nhà của anh Sáng cóp lại được và chia sẻ trên mạng xã hội.
Cũng theo anh S. thì nhà xe đã thu của anh 400 ngàn tiền vé về tới huyện Hải Hà, nhưng xe này chỉ chạy đến TP Hạ Long rồi chuyển khách sang xe khác. Tuy nhiên, anh S. cũng không bị mất thêm tiền khi phải chuyển xe.
Trong một diễn biến khác, sau khi bài báo được đăng tải, cán bộ một đơn vị chuyên trách trên tuyến Quốc lộ 18A qua địa bàn tỉnh Quảng Ninh đã trao đổi với PV Báo Giao thông để lấy một số thông tin liên quan đến chiếc xe này.
Bình luận bài viết (0)
Gửi bình luận