Một cụ bà họ Trần 96 tuổi giấu tên ở Đài Trung, Đài Loan có tính cách hoạt bát, vui vẻ, thân thể nhanh nhẹn. Thế nhưng, trong khi đang cúng bái thì bà đột nhiên ngất xỉu. Ngay lập tức, bà được đưa đến bệnh viện cấp cứu, may mắn thay bà đã qua cơn nguy kịch.
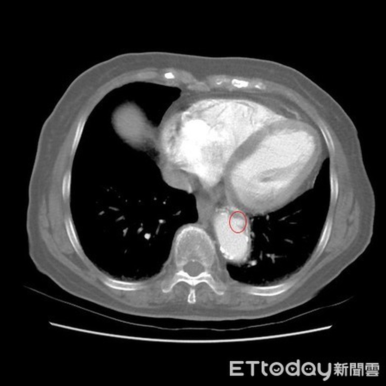
Bác sĩ cho biết, bà mắc bệnh phình động mạch chủ. Trong giai đoạn đầu, căn bệnh này không có triệu chứng, còn được mệnh danh là “kẻ giết người thầm lặng”. Khi bị đau tức ngực, đau lưng, khàn giọng, khó thở thì phải đi khám càng sớm càng tốt.

Người nhà cho biết, bà Trần trước đây bị ung thư hạch, cũng từng vượt qua bệnh Parkinson, thậm chí còn kinh doanh mua sắm online, sức khỏe rất tốt. Thế nên khi bà đột ngột ngất xỉu khiến người thân và bạn bè hoảng sợ.
Liu Yinzuo, Trưởng khoa Tim mạch, Bệnh viện Đại học Ajou chỉ ra rằng, động mạch chủ là một mạch máu lớn có chức năng dẫn máu đến tim và phân phối máu đi khắp cơ thể. Trường hợp của bà Trần đã khá lớn tuổi nên thành động mạch đã bị vôi hóa, tính đàn hồi thành mạch kém, máu lưu thông kém hơn. Khi bị kích thích liên tục làm cho đường kính của động mạch chủ trở nên to bất thường và tạo thành túi.
Bác sỹ Liu Yinzuo nhắc nhở rằng, bệnh phình động mạch chủ thường không có triệu chứng trong giai đoạn đầu, khi xuất hiện các triệu chứng như đau ngực, đau lưng, khàn giọng, khó thở, đau thắt lưng và bụng, có nghĩa là động mạch chủ bị phình to và chèn ép các cơ quan và mô xung quanh. Cần phải điều trị ngay để giảm rủi ro, sau phẫu thuật bệnh nhân thường có thể ăn uống, vận động nhanh chóng và có thể xuất viện trong thời gian ngắn.
Bình luận bài viết (0)
Gửi bình luận