
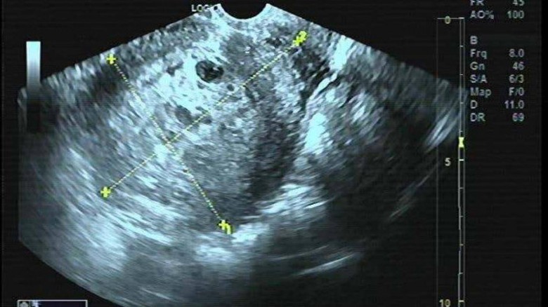
Kết quả siêu âm, xét nghiệm cho thấy bệnh nhân chửa trứng, chỉ định phẫu thuật cắt tử cung
Ngày 3/4, BV ĐK Medlatec thông tin, tại đây đã tiếp nhận nữ bệnh nhân N.K.L, 50 tuổi tới khám do âm đạo ra máu đen và mệt mỏi. Bà L, cho biết, bị chậm kinh 1 tháng nay kèm ra máu đen âm đạo ít một, đau bụng âm ỉ hố chậu phải, người mệt mỏi. Tuy nhiên, vì nghĩ rằng do đang bước vào giai đoạn tiền mãn kinh, bản thân chưa phát hiện bệnh lý bất thường trước đó nên không đi khám. Đến khi thấy hiện tượng ra máu kéo dài, bệnh nhân mới tới bệnh viện.
Tại đây, bệnh nhân được thăm khám và làm các xét nghiệm, và được chẩn đoán chửa trứng và đã phẫu thuật cắt tử cung ngay sau đó. Hiện tại, sức khỏe của bệnh nhân ổn định, cần phải theo dõi chỉ số Beta - hCG định kỳ theo hướng dẫn để phòng biến chứng.
ThS.BS Nguyễn Thị Hiền - Chuyên khoa Sản, BV ĐK Medlatec giải thích về hiện tượng thai trứng: Đây là tình trạng thai nghén bất thường, trong đó một phần hay toàn bộ gai rau bị thoái hóa thành các túi chứa dịch to, nhỏ, dính vào nhau thành từng chùm giống như chùm nho. Đa số trường hợp không có bào thai (thai trứng hoàn toàn), một số trường hợp có bào thai (thai trứng bán phần).
Khoảng 80% các trường hợp thai trứng là lành tính sau khi được điều trị bằng hút nạo sẽ diễn tiến tốt nhưng nếu không theo dõi và điều trị đúng, các nguyên bào nuôi tiếp tục phát triển và tiết ra hCG có thể gây ra những biến chứng rất nguy hiểm như: băng huyết, thai trứng xâm lấn gây thủng tử cung, thậm chí ác tính là ung thư tế bào nuôi (chiếm khoảng 10 - 30% các ca chửa trứng).
Hiện tại, các nhà khoa học vẫn chưa xác định được nguyên nhân gây ra hiện tượng này. Các yếu tố nguy cơ gây thai trứng như: độ tuổi (thai phụ trên 40 tuổi thì nguy cơ chửa trứng tăng 5,2 lần so với những thai phụ từ 21-35; Thiếu dinh dưỡng (chủ yếu là thiếu đạm, vitamin A); Miễn dịch của cơ thể...
Theo BS. Hiền, thoạt đầu thai chứng khá giống một thai kỳ bình thường dẫn đến nhiều người chủ quan. Để phát hiện sớm thai trứng có một số dấu hiệu các chị, em cần lưu ý cảnh giác như: Rong huyết là triệu chứng thường gặp nhất, thường xảy ra sau khi trễ kinh vài tuần. Huyết âm đạo có thể ít hoặc nhiều, thường là máu đen, ra ít một, kéo dài; Chậm kinh, rối loạn kinh nguyệt; Người bệnh nghén nặng, nôn nhiều, mệt mỏi, xanh xao do thiếu máu; Đôi khi có vàng da, nước tiểu vàng. Trường hợp nặng có thể bị cường giáp, nhịp tim nhanh, da ẩm, tay run...
Để phát hiện bệnh sớm và tránh biến chứng, khi có triệu chứng bất thường chị em cần đi khám ngay, hoặc nếu đang mang thai cần đi khám thai định kỳ.
Bình luận bài viết (0)
Gửi bình luận