Người đàn ông giấu tên này phủ nhận việc quan hệ tình dục không an toàn và được chẩn đoán mắc bệnh giang mai bởi các bác sĩ ở Ấn Độ. 3 tháng trước khi đến bệnh viện, người này phát hiện tay chân mình bị rung và cử động mắt không thể kiểm soát được. Kết quả quét não và xét nghiệm cho thấy anh bị dương tính với một bệnh thần kinh cực kỳ hiếm gặp.
Bác sĩ Deepti Vibha tại Khoa thần kinh, Delhi viết trong báo cáo tạp chí Y khoa Anh rằng đây là một bệnh lý thần kinh có thể gây suy nhược. Ước tính từ 15-30% những người bị nhiễm giang mai không được điều trị sẽ phát triển các biến chứng gọi là giang mai cấp 3.

Ở giai đoạn muộn này, bệnh có thể làm hỏng não, dây thần kinh, mắt, tim, mạch máu, gan, xương và khớp của bệnh nhân. Sau khi bị nhiễm giang mai từ 10-20 năm, vi khuẩn Treponema pallidum sẽ phát triển thành virus Neurosyphilis cực kỳ nguy hiểm.
Có 5 dạng khác nhau của bệnh lý thần kinh do virus trên gây ra, nhưng các bác sĩ cho biết người đàn ông giấu tên này không phù hợp với bất kỳ loại nào. Người này có rất ít những dấu hiệu thông thường như buồn nôn, nôn, cứng cổ, nhức đầu, đột quỵ, rối loạn tâm thần hoặc thay đổi tâm trạng.
Tuy nhiên, đến khi bệnh tình biến chuyển qua giai đoạn nghiêm trọng, lúc này virus giang mai đã lan đến não, xâm nhập vào hệ thần kinh, khiến cho việc cử động của cơ thể trở nên khó khăn.
Ngoài khó cử động, người đàn ông này còn phải vật lộn với chứng khó đọc và không thể kiểm soát được âm lượng giọng nói.
Các bác sĩ đã viết: "Bệnh nhân vẫn một mực phủ nhận việc quan hệ tình dục không an toàn hoặc bất kỳ sự tiếp xúc với nhiễm trùng sinh dục nào trước đó".
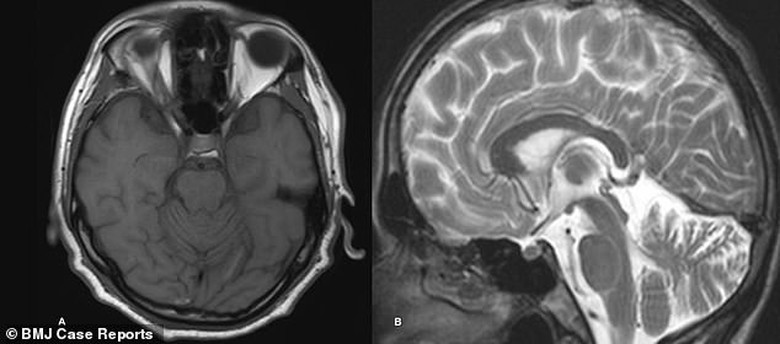
Mặc dù các xét nghiệm thông thường cho thấy người này vẫn trong tình trạng tương đối khỏe mạnh. Tuy nhiên, khi được chụp MRI não, các dây thần kinh khu vực tiểu não đang chết dần.

Các bác sĩ đã không còn nghi ngờ gì nữa rằng, điều này có liên quan đến kết quả xét nghiệm dương tính với Treponema pallidum, vi khuẩn gây bệnh giang mai.
Bệnh nhân đã được dùng kháng sinh trong 2 tuần, giúp cải thiện đáng kể tình trạng bệnh trong khi kết hợp với vật lý trị liệu. Sau 3 tháng, sức khỏe của người đàn ông này đã cải thiện rất nhiều.
Theo tổ chức y tế thế giới, kể từ năm 2010, số lượng người mắc bệnh giang mai đã tăng lên 70% tại châu Âu. Các nhà nghiên cứu cho rằng nguyên nhân hàng đầu là do quan hệ tình dục không an toàn, đặc biệt là việc quan hệ đồng tính nam và quan hệ khi đang nghiện ma túy.
Bình luận bài viết (0)
Gửi bình luận