
Phẫu thuật viêm ruột thừa, phát hiện xương cá dài 2cm xuyên thủng ruột thừa của bé trai 13 tuổi.
Ngày 15/3, tin từ Bệnh viện Sản - Nhi Cà Mau cho biết, các bác sĩ của Khoa Ngoại vừa phẫu thuật thành công lấy đoạn xương cá xuyên thủng ruột thừa cho bé trai 13 tuổi trong quá trình mổ cắt viêm ruột thừa.
Theo đó, bệnh nhi là bé P.T.N. (13 tuổi, ngụ huyện Đông Hải, Bạc Liêu) nhập viện lúc 14h30 ngày 14/3, trong tình trạng đau bụng vùng hố chậu phải.
Qua thăm khám và làm các xét nghiệm cần thiết, bệnh nhân N. được chẩn đoán viêm ruột thừa, chỉ định cắt ruột thừa bằng phương pháp nội soi.
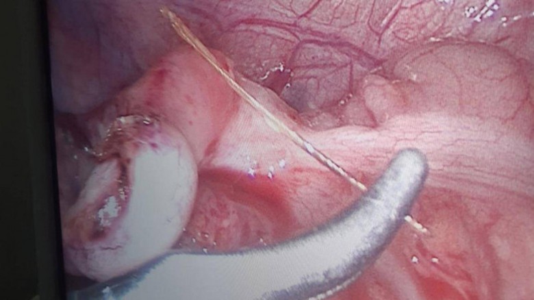
Trong quá trình phẫu thuật, kíp mổ do Thạc sĩ - bác sĩ Lê Văn Khen, Trưởng khoa Ngoại của bệnh viện phát hiện nguyên nhân viêm ruột thừa là do dị vật là một đoạn xương cá dài khoảng 2cm xuyên thủng ruột thừa.
Sau khi lấy dị vật ra, các bác sĩ mới tiến hành cắt ruột thừa cho bệnh nhân.
Theo bác sĩ Khen, trẻ hóc dị vật sắc nhọn như xương cá chọc thủng ở vị trí ruột thừa như trường hợp của bệnh nhân N. là rất hiếm.
“Trường hợp này lại rất hiếm gặp là khi xương cá đã đến được ruột già không theo phân ra ngoài mà di chuyển xuống ruột thừa và gây viêm ruột thừa”, bác sĩ Khen chia sẻ thêm.
Bình luận bài viết (0)
Gửi bình luận