
Adam Hergenreder (18 tuổi) ở Illinois, Mỹ là 1 trong 27 bệnh nhân gần đây phải nhập viện vì các bệnh liên quan tới đường hô hấp biến chuyển nặng.
Tháng trước, Adam cảm thấy không khỏe nhưng cậu cho rằng đó chỉ là bệnh cúm thông thường. Trong 3 ngày, cậu liên tục run rẩy không kiểm soát và nôn rất nhiều. Mẹ của cậu ngay lập tức gọi xe cấp cứu, trong khi được chăm sóc trong phòng đặc biệt, uống thuốc chống nôn nhưng vẫn không thuyên giảm.
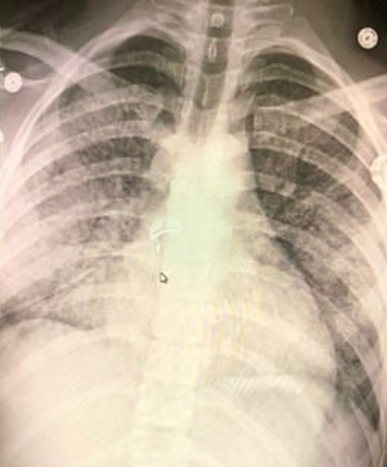
Các bác sĩ đã tiến hành chụp CT dạ dày, chụp X-quang phổi thì mới phát hiện ra được nguyên nhân thực sự. Trong phim X-quang cho thấy, phổi của Adam bị tổn thương nghiêm trọng "trông giống như phổi của một người 70 tuổi".
Bác sĩ cũng nói thêm rằng nếu mẹ của Adam không đưa cậu cấp cứu trong vòng 2-3 ngày tới, có lẽ cậu đã tử vong.
"Đó là bệnh phổi ở giai đoạn nghiêm trọng, tuy nhiên điều này lại xảy ra với một người trẻ tuổi. Bệnh nhân cảm thấy khó thở và thở rất nhiều", bác sĩ Stephen Amesbury nói.
Adam bắt đầu mua thuốc lá điện tử vào năm 16 tuổi tại các cửa hàng tiện lợi. Tuy nhiên, năm ngoái cậu bắt đầu sử dụng các thiết bị có chứa THC, thường được bán một cách bất hợp pháp.
THC là viết tắt của từ Tetrahydrocannabino, một hợp chất thường được tìm thấy trong cần sa, gây ra cảm giác như được "bay". Xoài và bạc hà là hương vị yêu thích của Adam. Mặc dù biết những tác hại của thuốc lá điện tử, nhưng cậu vẫn hút mỗi ngày.

Mẹ của Adam đã cảnh báo về những thiết bị điện tử này và thường vứt nó đi mỗi khi nhìn thấy.
"Chúng tôi chưa biết nguyên nhân chính xác của những căn bệnh liên quan tới thuốc lá điện tử. Đó có thể là chất lỏng hoặc một thứ gì đó trong các thiết bị điện tử", Ann Thomas, bác sĩ tại Oregan Health Agency cho hay.
Adam đã được cứu chữa kịp thời và vui mừng khi biết được mình đã thoát khỏi cái chết ở tuổi 18. Cậu vui mừng chia sẻ: "Tôi cảm thấy vui mình bản thân là một ví dụ để mọi người thấy được rằng thuốc lá điện tử không hề tốt một chút nào. Nó sẽ làm rối tung phổi của bạn".
Bình luận bài viết (0)
Gửi bình luận