
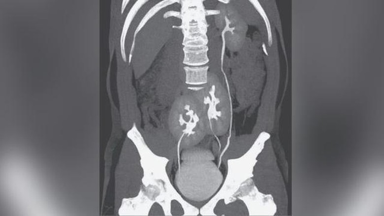
Ảnh chụp CT 3 quả thận.
Trang Aboluowang đưa tin, ngày 6/5, một người đàn ông đến Bệnh viện Do Rim ở Sao Paulo, Brazil phàn nàn về chứng đau thắt lưng. Bác sĩ sốc khi phát hiện ra bệnh nhân có 3 quả thận thay vì là 2, đây là một trường hợp rất hiếm gặp.
Kết quả quét CT cho thấy đĩa đệm giữa của người đàn ông nhô ra và có phần bị trượt xuống. Tình huống này tương đối phổ biến, đĩa đệm cột sống bị dịch chuyển một phần nhỏ.
Tuy nhiên, người đàn ông này không đơn thuần là bị thoát vị đĩa đệm mà có thêm một quả thận không mong muốn. Bác sĩ cho biết bệnh nhân không có bất kỳ triệu chứng bất thường nào về thận và cơ quan này có vẻ như đang hoạt động tốt.
Thông thường, mỗi quả thận được kết nối với bàng quang thông qua một ống niệu quản. Trong trường hợp của người đàn ông này, một quả thận vùng chậu được kết nối trực tiếp với bàng quang thông qua niệu quản. Tuy nhiên, niệu quản của khung chậu thận khác được kết nối với niệu quản của quả thận trái trước khi vào bàng quang.
Một báo cáo trường hợp tương tự được công bố trên Tạp chí X-quang năm 2013 cho thấy rất hiếm khi con người có 3 quả thận, chưa có tới 100 trường hợp được ghi nhận trong các tài liệu y khoa. Tình trạng này được cho là xảy ra trong quá trình phát triển phôi, khi cấu trúc hình thành thận bị chia làm 2.
Trên một bài viết của NEJM - Tạp chí Y học New England cho biết tình trạng này thường không gây ra triệu chứng gì. Vì thế, mọi người thường không biết mình bị bệnh trừ khi vô tình phát hiện ra thông qua các xét nghiệm y tế không liên quan.
Mặc dù quả thận của người đàn ông trên không được can thiệp y tế, nhưng ông có sử dụng thuốc giảm đau khi bị đau lưng.
Bình luận bài viết (0)
Gửi bình luận