Bệnh viện Sản nhi tỉnh Phú Thọ vừa tiếp nhận bé N.P.C (2 tuổi, trú tại huyện Lập Thạch, tỉnh Vĩnh Phúc) được gia đình đưa đến khám do nghi ngờ nuốt chiếc đinh vít.
Theo người thân của bé C, 4 giờ trước khi vào viện, bé chơi ở nhà hàng xóm và nuốt phải đinh vít nhưng không ai phát hiện ra. Khi tìm không thấy chiếc đinh vít, hàng xóm thông báo cho gia đình đưa bé đi khám.
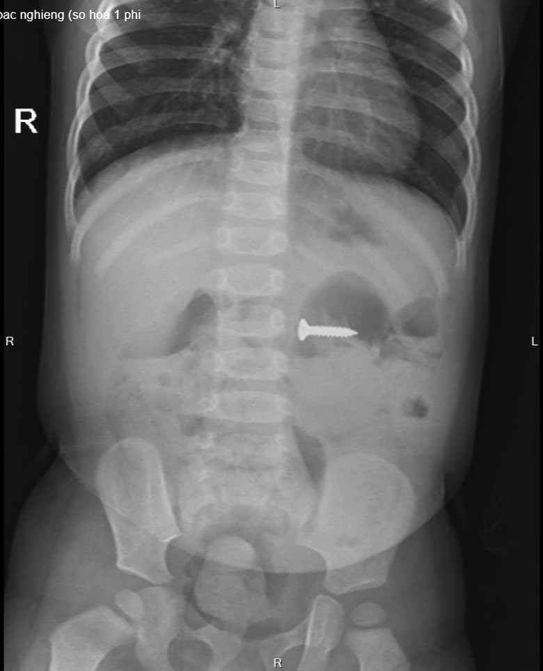
Tại Bệnh viện Sản nhi tỉnh Phú Thọ, các bác phát hiện dị vật đinh vít sắc nhọn kích thước 2 cm trong dạ dày. Với tính chất sắc nhọn, nếu không loại bỏ kịp thời, đinh vít có thể gây tổn thương đâm thủng thành ruột, dạ dày, thậm chí có thể gây tổn thương nhiều vị trí mà chiếc đinh đi qua.
Sau khi gắp dị vật, trẻ tiếp tục được nội soi tiêu hóa để kiểm tra lại, tình trạng thực quản, dạ dày, tá tràng đều ổn định, không còn dị vật nào khác. Hiện tại, bệnh nhi được theo dõi sức khỏe tại Khoa Cấp cứu.

Hình ảnh chụp XQ phát hiện đinh vít nhọn nằm trong dạ dày của trẻ.
Đây không phải trường hợp hiếm gặp. Tại khoa nhi của các cơ sở y tế vẫn thường xuyên tiếp nhận bệnh nhân vô tình nuốt phải dị vật.
Các bác sĩ khuyến cáo trẻ nhỏ thường hiếu động, tò mò với các đồ vật, chưa tự biết phòng tránh trước các nguy hiểm. Do vậy, cha mẹ cần để trẻ trong tầm mắt, không để trẻ tự nhặt đồ vật cho vào mũi, miệng, tai…
Nếu dị vật đi vào đường thở gây khó thở đột ngột rất nguy hiểm, có thể ảnh hưởng đến tính mạng. Còn khi đi vào ruột có nguy cơ gây tắc ruột, hoại tử ruột muộn hoặc thủng ruột.
Đối với trẻ nhỏ hãy để những vật dụng sắc nhọn xa tầm tay của trẻ; không nên cho trẻ chơi những đồ chơi có thể gây nguy hiểm. Đối với trẻ lớn, cần hướng dẫn trẻ những nguy hiểm của vật sắc nhọn và hướng dẫn trẻ cách sử dụng vật dụng, đồ chơi an toàn.
Ngoài ra, khi thấy trẻ có dấu hiệu khó thở đột ngột, đau bụng, quấy khóc chưa rõ nguyên nhân, bụng chướng, buồn nôn, nôn… các gia đình nên đưa trẻ đến các cơ sở y tế gần nhất để có phương án xử lý kịp thời, tránh được các biến chứng nặng nề.
Bình luận bài viết (0)
Gửi bình luận