Bị đánh chấn thương, nhập viện vì đòi xuống xe
Mấy ngày gần đây, cộng đồng mạng xôn xao về một clip ghi lại cảnh một người đàn ông bị đè xuống, đánh túi bụi trong một chiếc ô tô.
Vụ việc được cho là xảy ra trên xe khách tuyến Hà Nội - Quảng Ninh, người bị đánh là một hành khách và người tham gia hành hung là tài xế và phụ xe.
>>> Clip: Hành khách bị lái, phụ xe đè xuống ghế và đánh túi bụi gây xôn xao dư luận:
PV Báo Giao thông đã phải liên hệ rất lâu mới gặp được người đăng tải câu chuyện gây bức xúc dư luận này lên facebook, đó là chị Vũ Thị Thủy - vợ của anh Hồ Mùn Sáng (SN 1995, trú tại tổ 1, khu 5, phường Hải Yên, TP Móng Cái, Quảng Ninh), là hành khách bị đánh trong clip.
Chị Thuỷ chia sẻ, bức xúc vì chồng bị đánh phải nhập viện đêm 30/10, nên chị đã đăng tải clip trên facebook. Tuy nhiên, lo sợ bị nhà xe gây hấn, nên dù có rất nhiều người nhắn tin, hỏi thăm và đề nghị cũng cấp thông tin cụ thể, nhưng chị đều thận trọng, không dám gặp mặt...

Anh Hồ Mùn Sáng với cánh tay bị bó bột và giọng còn hoảng hốt khi kể lại với PV Báo Giao thông giây phút bị hành hung trên xe khách
Sau thời gian thuyết phục, tối 4/11, anh Hồ Mùn Sáng đã đồng ý gặp PV Báo Giao thông tại nhà người quen gần Bệnh viện Đa khoa Bãi Cháy. Sau 5 ngày bị đánh trên xe khách, một bên mắt anh Sáng vẫn còn thâm quầng, bàn tay trái bó bột.
Vẫn còn hoảng hốt, anh Sáng kể: Khoảng 17h ngày 30/10, khi anh đến bến xe Mỹ Đình thì có một người mặc quần áo bảo vệ vẫy gọi sang cổng đối diện rồi đưa lên một chiếc xe Transit màu bạc, mang BKS 14B-042xx có biển ghi là Hà Nội - Móng Cái.

Sau khi lên xe khách về Quảng Ninh, anh Sáng được các hành khách băng bó, lau vết thương trên đầu, trên mặt
Lúc này trên xe có khoảng 5 - 6 hành khách gì đó. Khi xe di chuyển đến đường Phạm Hùng thì phụ xe yêu cầu thu tiền vé.
Anh Sáng hỏi là đi đến Móng Cái hết bao nhiêu tiền, thì phụ xe trả lời "đưa bao nhiêu thì đưa". Anh Sáng hỏi lại và được cho biết giá đi Hà Nội - Móng Cái trên cao tốc là 500 ngàn đồng và phụ xe yêu cầu thanh toán vé luôn.
Nghe vậy, nghi ngờ là bị đổi sang xe khác ngang đường, anh Sáng đã đề nghị là về đến Móng Cái thì thanh toán. Tuy nhiên, phụ xe này không đồng ý mà yêu cầu phải trả ngay.
Lúc này, anh Sáng liền lấy điện thoại ra gọi cho xe khác và yêu cầu tài xế cho xuống. Đúng lúc ấy, anh Sáng bị phụ xe ngồi phía sau đấm vào sau gáy làm rớt chiếc điện thoại và cầm lấy luôn.
Theo lời kể của anh Sáng, phụ xe đã bóp cổ, đấm liên tục vào đầu, vào mặt rồi ghì anh Sáng xuống ghế, đánh tới tấp vào đầu anh. Cùng lúc đó, tài xế cũng dừng xe lại rồi trườn sang dùng dép đập vào mặt, vào đầu và luôn miệng chửi bới, đe dọa anh Sáng.
Không dừng lại ở đây, phụ xe vừa đấm anh Sáng còn miệng thì liên hồi gọi tài xế "lấy con dao ra đây".
"Tài xế không lấy dao, nhưng đã dùng một vật cứng đập thẳng vào đầu tôi. Sau cú đập đầu tiên vào đầu, tôi choáng váng, nên đến cú thứ 2, tôi đã khua tay lên đỡ thì nghe tiếng "cấc" và bàn tay trái đau điếng. Lúc này, tôi chảy máu đầu, máu mũi, máu tai, nhưng phụ xe vẫn tiếp tục đánh…", anh Sáng thất thần kể lại.
Thấy mình bị đánh máu me be bét, buồn nôn và khát nước, anh Sáng liên tục van xin cho xuống xe để băng bó, nhưng phụ xe không cho mà còn đe dọa "mày cứ ngồi đấy"; "hôm nay tao đánh cho mày tới bến"…
Bị vứt giữa đường vắng trong tình trạng chấn thương
Khi xe hành trình đến TP Bắc Ninh thì tài xế bất ngờ rẽ vào một con đường vắng lấy lý do cho anh Sáng xuống đi vệ sinh. Anh Sáng vừa xuống xe thì phụ xe đã bất ngờ vứt hành lý, trả điện thoại cho anh Sáng rồi chiếc xe phóng đi mất...
Sau đó, anh Sáng được người dân thương tình gọi xe ôm ra khu vực bắt xe về Quảng Ninh. Khi lên xe, một số hành khách đã lau máu, băng bó cho anh Sáng. Đến khoảng gần 22h ngày 30/10, khi thấy bị đau quá không chịu được nữa, anh Sáng đã xuống xe và vào Bệnh viện Đa khoa Bãi Cháy để điều trị.
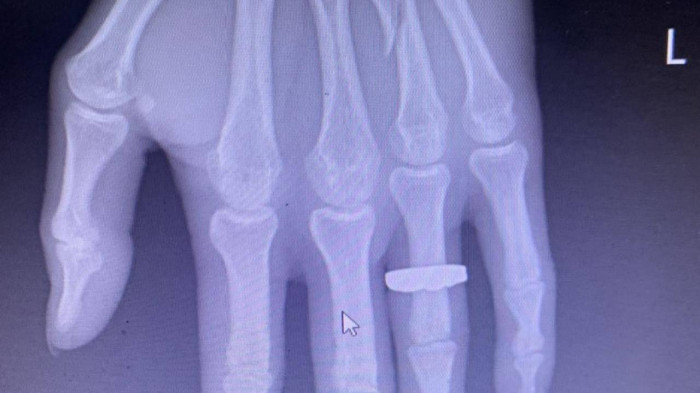
Bệnh án của Bệnh viện Đa khoa Bãi Cháy ghi nhận, anh Sáng bị gãy xương áp út bên tay trái, đa chấn thương đầu, mặt. Hiện ngoài vùng mắt trái còn thâm tím, đầu anh Sáng phía bên trái còn rõ vết rách khoảng 2cm mới liền, vùng vai, gáy vẫn bị sưng, đau.

Vết gãy trên ngón tay áp út của anh Sáng do Bệnh viện Đa khoa Bãi Cháy chụp
Cũng theo lời anh Sáng thì hai hôm trước, có một người nhắn tin cho vợ anh tự nhận là chủ chiếc xe khách nêu trên và đề nghị vào bệnh viên thăm, nói chuyện. Tuy nhiên, gia đình anh Sáng chưa đồng ý và đã làm đơn tố cáo gửi Công an TP Móng Cái, Công an TP Hà Nội.
Anh Sáng cho biết, người quay lại clip anh bị tài xế, phụ xe đánh là một hành khách trên chuyến xe này. Người này đăng tải clip lên mạng xã hội 1 lúc rồi gỡ ngay, tuy nhiên do mạng xã hội lan tỏa rộng, nên có người quen của gia đình anh Sáng đã kịp lưu lại clip.
"Tôi có đầy đủ biển số xe này và qua theo dõi trên mạng xã hội, tôi thấy có một trường hợp tên Ng.V.N có nhận dạng giống với phụ xe đã đánh tôi tối ngày 30/10. Do đó, gia đình tôi sẵn sàng cung cấp thông tin liên quan cho cơ quan chức năng để thuận tiện cho việc điều tra, xử lý các đối tượng theo quy định của pháp luật", anh Sáng khẳng định.
Tối 4/11, PV Báo Giao thông đã liên lạc với phía cơ quan chức năng TP Móng Cái nhưng chưa nhận được hồi âm.
Sáng 5/11, PV Báo Giao thông đã liên lạc được với anh H.V.Q. - 1 trong 2 người dân ở khu Tiên Xá, phường Hạp Lĩnh, TP Bắc Ninh, tỉnh Bắc Ninh - nơi anh Sáng bị nhà xe đẩy xuống đường cùng hành lý và điện thoại. 2 người dân này đã hỗ trợ giúp anh Sáng ra điểm đón xe khách về Quảng Ninh.
Anh Q. kể, tối hôm ấy, khi chiếc xe khách dừng lại chừng hơn một phút rồi bỏ đi, thì anh thấy một người bị máu me khắp mặt, mũi, quần áo, nên tiến lại gần hỏi thăm thì biết anh này tên Sáng và bị đánh.
"Tuyến đường qua khu nhà tôi là tuyến Hà Nội - Hải Phòng, không có xe đi Quảng Ninh, nên tôi thấy lạ khi hành khách này nói về Quảng Ninh. Có thể, tài xế và phụ xe cố tình thả anh này xuống khu vực vắng và trái tuyến để không kịp điện báo cho cơ quan chức năng. Do tối, nên tôi không nhìn rõ biển số xe, nhưng thấy đó là xe màu bạc dạng 16 chỗ. Tôi sẵn sàng phối hợp với cơ quan chức năng để làm chứng vụ, việc này", anh H.V.Q khẳng định.
Bình luận bài viết (0)
Gửi bình luận