Chiều 5/10, trao đổi với Báo Giao thông, lãnh đạo Bệnh viện Phúc Hưng (Quảng Ngãi) cho biết, hiện tại sức khỏe của cả hai nữ công nhân môi trường bị kẻ lạ dùng súng bắn trong đêm khuya đã tạm ổn.

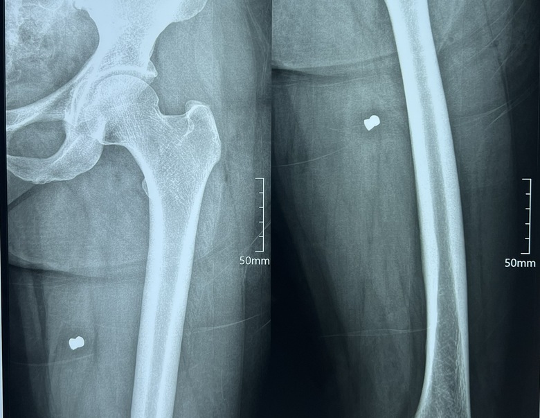
Phim X-Quang cho thấy dị vật kim khí găm bên trong chân của nữ công nhân Lê Thị Minh Khải.
Theo hình ảnh chụp phim X-Quang, nữ công nhân Võ Thị Lưu bị một vết thương hở rộng 1,5cm bên mặt ngoài đùi trái 1/3. Bên trong đùi có một vật kim khí.
Nữ công nhân Lê Thị Minh Khải có ba vết thương hở ở vùng ngoài da với mặt hở 1,5cm ở đùi chân trái, cẳng chân trái, bên trong vùng thịt có vật kim khí găm chặt.
Bác sỹ Nguyễn Quang, Phó giám đốc Bệnh viện Phúc Hưng cho biết, qua tiếp nhận hai trường hợp bệnh nhân nhập viện trong tình trạng có nhiều vết thương hở. Bước đầu thăm khám, chụp phim xác định nạn nhân bị vật kim khí găm chặt bên trong phần chân của hai bệnh nhân.
"Qua hội chẩn, kết quả chụp X-Quang, bệnh viện tiến hành gây mê và phẫu thuật lấy dị vật kim khí bên trong ra. Qua đó, xác định vật kim khí được lấy ra có hình giống đầu đạn với kích thước 1,1cm", bác sĩ Quang thông tin.

Phó chủ tịch UBND TP Quảng Ngãi Nguyễn Lâm thăm hỏi, động viên tinh thần hai nữ công nhân.
Theo bác sĩ Quang, cả hai bệnh nhân sau phẫu thuật sức khỏe đã ổn định. Đội ngũ y tế của bệnh viện theo dõi sát sao diễn biến sức khỏe cũng như trò chuyện để ổn định tâm lý bệnh nhân.
Cũng trong ngày 5/10, Phó chủ tịch UBND TP Quảng Ngãi Nguyễn Lâm đã đến thăm hỏi, động viên tinh thần hai nữ công nhân.

Kim khí có hình thù giống đầu đạn găm bên trong chân của nữ công nhân Lê Thị Lưu.
Trước đó, Báo Giao thông đã đưa tin, vào khuya 5/10, hai nữ công nhân môi trường của Công ty CP Môi trường đô thị Quảng Ngãi dọn vệ sinh môi trường trên đường Phạm Văn Đồng, phường Nghĩa Chánh, TP Quảng Ngãi bất ngờ bị hai thanh niên lạ mặt áp sát và hành hung. Một trong hai đối tượng đã rút súng bắn vào hai nữ công nhân làm cả hai trọng thương phải nhập viện cấp cứu.
Ngay sau đó, Công an TP Quảng Ngãi và Công an tỉnh Quảng Ngãi đã vào cuộc điều tra truy tìm đối tượng gây án.
Bình luận bài viết (0)
Gửi bình luận