![]() |
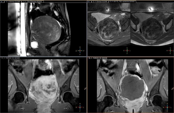
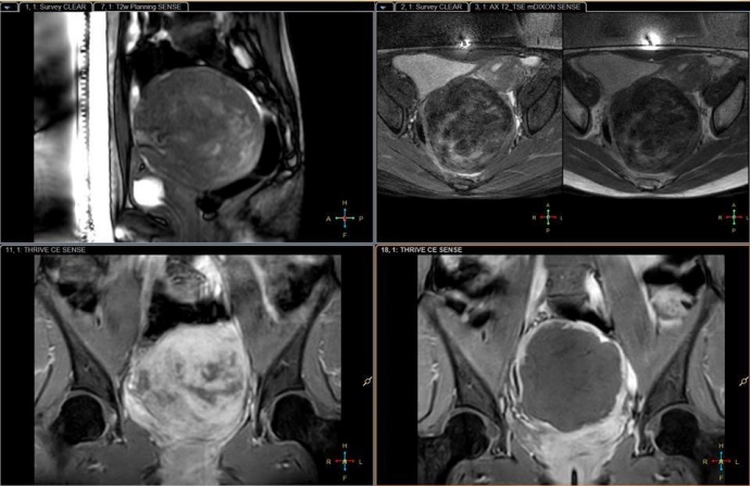
Hình ảnh khối u xơ choán hết phần tử cung, gây nên suy thận cho bệnh nhân |
Theo BS Nguyễn Minh Đức, giảng viên trường Đại học Y khoa Phạm Ngọc Thạch, TP.HCM có nhiều trường hợp bệnh nhân chỉ vì chủ quan với khối u nhỏ mà dẫn đến hậu quả rất đáng tiếc. Điển hình như trường hợp của chị Trần Mỹ H. (42 tuổi, TP.HCM), cho dù biết mình có khối u xơ tử cung từ 8 năm trước, thậm chí ngay cả khi khối u đã khá to, có thể cảm nhận được bằng việc sờ bằng tay chị vẫn chủ quan, và chỉ đi khám khi có biểu hiện thường xuyên đau lưng, giảm ham muốn...
Qua thăm khám, bác sĩ thông báo chị có một khối u xơ tử cung khoảng 100mm, chiếm toàn bộ tử cung và phần bụng dưới. Cũng qua kết quả chụp chiếu, khối u xơ tử cung chiếm hoàn toàn vùng chậu của chị H., đồng thời, nhận bệnh nhân đã bị thận ứ nước nặng độ 2 cả hai thận, suy giảm chức năng thận.
“Sau khi hội chẩn với các chuyên gia, chúng tôi đã tư vấn gia đình thực hiện phương pháp can thiệp ít xâm lấn, đó là sử dung sóng siêu âm hội tụ, khi sử dụng phương pháp này khối u sẽ được triệt tiêu mà vẫn bảo tồn được tử cung”, BS Đức cho biết. Sau 2 tháng tiến hành làm thủ thuật bệnh nhân đã dần ổn định, tình trạng thận ứ nước cũng đã được cải thiện.
Các chuyên gia cho biết, u xơ tử cung là khối u lành tính phát triển từ cơ tử cung. Đây là bệnh phụ khoa thường gặp nhất ở phụ nữ trong độ tuổi sinh sản từ 30 đến 50 tuổi. U thường gây nhiều triệu chứng như rối loạn kinh nguyệt và chèn ép vào vùng chậu khiến bệnh nhân rất mệt mỏi đặc biệt vào những ngày đèn đỏ.
Xem thêm video:
Đặc biệt, khi khối u đã quá to chúng chèn ép vào trực tràng, bàng quang làm rối loạn tiêu tiểu và âm thầm chèn ép vào niệu quản khiến thận bị ứ nước tăng dần theo thời gian. Nếu không quan tâm chữa trị một cách đúng mức sẽ dẫn đến suy thận không hồi phục.
Các khối u xơ tử cung to thường để lại rất nhiều hậu quả nghiêm trọng như mất máu nhiều dẫn đến thiếu máu mạn, thậm chí suy tim. Nếu khối u chèn ép vào niệu quản hai bên sẽ làm thận bị ứ nước và thậm chí suy chức năng thận. Trong khi đó, việc điều trị và xử lý từ sớm với u xơ tử cung không phức tạp.
Theo khuyến cáo của BS. Đức, chị em phụ nữ nên định kỳ khám sức khỏe phụ khoa để sớm phát hiện và điều trị nên có bệnh. Đặc biệt lưu ý, khi có các triệu chứng rối loạn kinh nguyệt, đau hạ vị, rối loạn tiêu tiểu, đau khi giao hợp cần phải lưu tâm và đi khám cơ sở chuyên khoa, tránh các hậu quả đáng tiếc khi lỡ để bệnh tiến triển vào giai đoạn muộn.

Bình luận bài viết (0)
Gửi bình luận