Ngày 8/1, theo thông tin từ Bệnh viện Đa khoa Thanh Vũ Medic Bạc Liêu, bác sĩ bệnh viện vừa cấp cứu thành công cho nam bệnh nhân bị vỡ thận do trượt té đập bụng vào vật cứng.
Theo đó, vào lúc 23h ngày 6/1, Khoa Cấp cứu Bệnh viện Đa khoa Thanh Vũ Medic Bạc Liêu tiếp nhận bệnh nhân T.Q.K. (22 tuổi, ngụ xã Vĩnh Bình, huyện Hòa Bình, tỉnh Bạc Liêu) nhập viện với tình trạng đau bụng dữ dội, chấn thương bụng kín.

Bệnh nhân K. được bác sĩ thăm khám sau can thiệp nội mạch.
Qua thăm khám và thực hiện các cận lâm sàng cần thiết, các bác sĩ chẩn đoán người bệnh bị chấn thương thận phải độ IV (AAST) gây xuất huyết nội và vỡ gan hạ phân thùy VII độ I. Người bệnh được tiến hành cấp cứu, điều trị nội khoa tích cực, theo dõi sát mạch, huyết áp và tình trạng bụng.
Sau hội chẩn, khoảng 3h15 ngày 7/1, các bác sĩ thống nhất sử dụng phương pháp can thiệp nội mạch với sự xâm lấn tối thiểu để tiến hành cầm máu chấn thương vỡ thận. Thủ thuật diễn ra trong khoảng 45 phút, kết quả cực trên thận phải đã tắc mạch hoàn toàn.

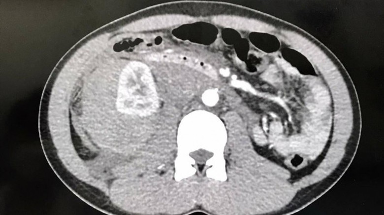
Ảnh chụp CT Scanner trước khi can thiệp nội mạch.
Sau can thiệp nội mạch, hiện tại tình trạng bệnh nhân tỉnh, tiếp xúc tốt, dự kiến xuất viện trong vài ngày tới.
Được biết, trước đó, vào tối 5/1, anh K. bị trượt té đập bụng vào vật cứng khi đang ở tỉnh Vĩnh Long, thấy đau nhẹ ở bụng, nên anh K. đã tự chạy xe gắn máy từ Vĩnh Long về đến Bạc Liêu. Anh K. đau bụng nhiều hơn, nên được người nhà đưa đến Bệnh viện Thanh Vũ điều trị.
Bình luận bài viết (0)
Gửi bình luận